近日,山东第一医科大学附属省立医院(山东省立医院)中心院区胸外科一病区刘相燕主任带领团队完成一例复杂纵隔肿瘤手术。术后患者恢复良好,已顺利康复出院。
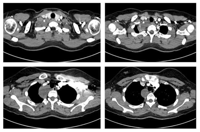
患者是一名来自新疆的19岁女生,在校期间一次常规体检中偶然发现后纵隔肿物。因肿物位置特殊,患者及家属在当地多家医院辗转求医,最终慕名到省立医院刘相燕主任处就诊。入院后,患者完善了胸部CT平扫+增强检查,影像显示,肿物上缘至甲状腺水平,向下沿气管及食管走行,累及长度近6厘米,与右锁骨下动脉关系密切,几乎完全包绕椎动脉。此外,肿瘤已累及交感神经,紧邻臂丛神经,术中稍有不慎极易损伤重要的血管、神经,导致严重的并发症。这极大增加了手术难度与风险,对手术团队提出了挑战。针对患者复杂的病情,刘相燕主任带领团队制定了详尽的手术方案,就手术切口选择、术中突发状况应急处理以及术后生命体征与神经功能监测等环节均进行了充分讨论与周密准备。

患者术前胸部增强CT影像资料
经过充分的术前评估与积极准备,患者及时接受了手术治疗。因患者肿瘤与周围重要血管、神经界限不清,同时,由于胸廓出口位置特殊,血管及神经显露困难,手术操作空间严重受限。术中,刘相燕主任结合术前增强CT影像精准确认并逐一离断肿瘤的多支滋养动脉,将血管、神经充分游离后完整切除肿瘤,并完整保留相关血管、神经功能。整台手术历时三个多小时,最终顺利完成。患者术后恢复良好,术后第6天便顺利出院返回新疆,目前已恢复正常的学习和生活。

术中情况及完整切除的肿瘤

术后病理报告单

患者向刘相燕主任赠送锦旗
刘相燕主任表示,胸廓出口部空间狭小,重要组织结构多,毗邻复杂,对于原发/累及胸廓出口部的巨大肿瘤,手术显露困难,操作空间严重受限,因此,外科治疗极具挑战性。
原发/累及胸廓出口部的肿瘤起源复杂,常见的有后纵隔神经源性肿瘤,肺源性肿瘤,胸膜纤维瘤及肉瘤等,其中神经源性肿瘤及肺源性肿瘤占绝大部分。成人常见的胸廓出口部巨大肿瘤多为良性神经源性肿瘤,对于中老年患者,多数为神经鞘瘤,而对于青年患者则神经纤维瘤相对多见。患者常无明显症状,肿瘤较大时可出现相应组织结构受压所致的症状,如肿瘤压迫颈部交感神经所致的Horner综合征等。而对于恶性肿瘤,如肺上沟瘤等,患者往往会在肿瘤外侵时出现上肢疼痛、肌力下降、胸背部不适等症状。
近年来,省立医院胸外科一病区已成功完成数十例复杂胸部肿瘤手术,其中约30%为原发/累及胸廓出口部的肿瘤。团队经过多年的积累,不断创新术式,同时在重要血管的保护、神经功能的保留等方面取得了良好效果。下一步,科室将继续依托医院强大的综合实力,为更多复杂纵隔肿瘤患者提供优质的医疗服务。(来源:山东第一医科大学附属省立医院)
