近日,山东第一医科大学附属省立医院(山东省立医院)心脏大血管外科王安彪教授团队,在中国医学科学院阜外医院段福建教授与空军军医大学西京医院刘洋教授指导下,成功为一例二尖瓣重度反流4+伴后叶脱垂、后叶部分腱索断裂的患者实施全超声引导下经皮二尖瓣钳夹术(TEER),实现了微创、精准治疗。患者术后恢复良好,已康复出院。
患者为75岁男性,因“活动后胸闷1月余”入院,经诊断存在慢性心力衰竭、二尖瓣重度反流(4+)、后叶脱垂、部分腱索断裂、三尖瓣重度反流、重度肺动脉高压等多种高危病症,同时合并高血压病3级、颈动脉硬化、支气管炎及肺结节等基础疾病。入院后,科室予以药物积极纠正心功能治疗,并完善冠状动脉CTA检查,结果显示冠状动脉轻度狭窄。经心脏大血管外科会诊,建议行二尖瓣手术治疗。由于患者高龄、心功能差、存在桶状胸及肺功能不佳等问题,传统开胸手术风险极高。经多学科讨论,团队最终决定行创伤小、恢复快的经皮二尖瓣钳夹术(TEER)。该术式作为高龄及外科高危的二尖瓣重度关闭不全病人的有效治疗方式,具有创伤小、术后恢复快等优势。
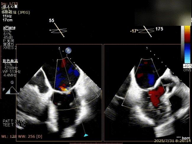
术前完善经食管超声评估,提示该患者双房大,二尖瓣重度反流4+伴后叶脱垂、后叶部分腱索断裂。根据评估结果,心脏大血管外科王安彪主任团队制定了周密的手术方案:植入一枚夹合器,钳夹P1区反流最大处,尽可能夹持全部后叶脱垂瓣叶组织,后续根据术中实时残余分流和跨瓣压差等指标,并依据实时超声监测调整治疗策略。

三维评估

二尖瓣P1脱垂偏心性返流术前影像
手术过程中,麻醉与围术期医学科副主任医师马金本确保麻醉过程平稳。心脏大血管外科主治医师董明亮穿刺股静脉置入血管鞘,并在心脏超声科梁皓主任及段福建教授TEE引导下,顺利穿刺房间隔,房间隔穿刺高度4.9cm。随后,在王安彪主任以及刘洋教授指导、心脏超声科梁皓主任TEE引导下,董明亮医师沿输送系统将延展呈“一字型”状态的国产夹合器送至左房,缓慢关闭夹合器并进行弹道测试。调整夹合器位置和方向后,董明亮医师再次将夹合器延展呈“一字型”完成跨瓣,避免发生腱索缠绕,成功捕获瓣叶后关闭夹合器,二尖瓣反流显著下降。夹合器完全解离后,超声示二尖瓣反流程度显著下降,残余反流0,平均跨瓣压差1mmHg,手术圆满成功。


房间隔穿刺

夹合器“一字型”状态进入左房

缓慢关闭夹合器

捕获瓣叶并放下Gripper

关闭夹合器


解离前三维


解离后瓣叶及反流


解离后三维

平均跨瓣压差
术后患者转入心外监护室继续治疗,两小时即顺利拔出气管插管,次日转回普通病房。患者出院前复查心脏超声显示恢复良好,顺利康复出院。
近年来,王安彪教授带领心脏大血管外科团队在结构性心脏病的瓣膜介入领域持续取得突破,成功开展经导管主动脉瓣置换术(经股途径以及经心尖途径)、经导管二尖瓣钳夹手术(经皮途径以及经心尖途径)、二尖瓣瓣中瓣植入(经皮以及经心尖途径)等前沿技术。针对高龄以及外科手术高危的瓣膜病患者,手术团队成功实施多例瓣膜微创介入手术,显著降低了手术风险,有效改善了患者的症状及生活质量。未来,团队将继续推进瓣膜微创治疗技术优化与临床应用,进一步提升治疗效果,惠及更多患者。(来源:山东第一医科大学附属省立医院)
